Clinical case by Dr. Maria Senkova, Implantologist
Introduction
This case presents a complex full-arch multi-unit fixed rehabilitation. The treatment objective was to achieve optimal aesthetic and functional results while meeting the patient’s demand for high efficiency. The protocol integrated Root Shield (Socked Shield) technique, Pterygoid implants, and SHINING 3D Elite Intraoral Photogrammetry (IPG) as part of a fully digital dental workflow, enabling immediate load dental implants and predictable long-term tissue stability.
Clinical Situation and Treatment Plan
A 52-year-old female with Type II diabetes presented with failing dentition, characterized by generalized mobility, gingival bleeding, and poorly fitting dentures. Clinical challenges included arch deformities and severe posterior maxillary bone deficiency due to advanced sinus pneumatization. To meet the patient's request for immediate function and esthetics, a "teeth-in-a-day" protocol was implemented, involving full-arch extractions, IPG scanning, immediate implant placement, and the delivery provisional restoration on the day of surgery.
Surgical Procedure
The first stage of treatment was initiated in February 2025.
Maxillary :
The surgical phase began with the placement of palatal scan markers for digital alignment, followed by a full-thickness flap elevation. To maintain the buccal ridge profile, the Root Shield technique was performed at sites 13, 12, and 23, where vestibular bone support was sufficient. JDental Icon Plus implants were installed in the remaining sites. To address posterior bone deficiency without sinus augmentation, JDental Paga3 pterygoid implants were placed via a transsinusal approach. The workflow concluded with soft tissue management, forming a critical step in the overall digital dental workflow for full arch dental implants rehabilitation.
Mandibular :
Following marker placement and necessary bone reduction, JDental Icon Plus implants were installed and fitted with Multi-Unit Abutments (MUA). A preliminary suturing was performed to stabilize the site, after which a mandibular IPG scan was executed to capture precise implant positions. The procedure was finalized with the complete closure and suturing of the gingival grafts to ensure optimal soft tissue healing.
Digital Workflow and Immediate Loading
The digital workflow for this full arch dental implants case centered on the SHINING 3D Elite Intraoral Scanner equipped with IPG technology, which allowed for the rapid and high-precision capture of multi-unit implant positions and soft tissue. These precise data sets can also be integrated with pre-operative intraoral scans to provide an accurate occlusal reference for the provisional restorations.
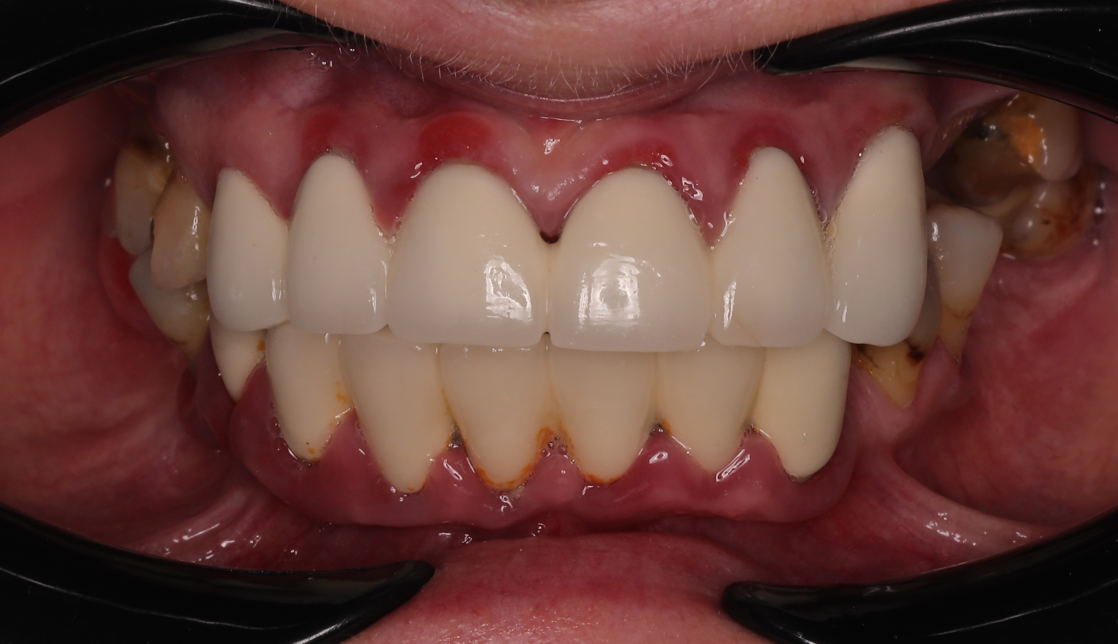
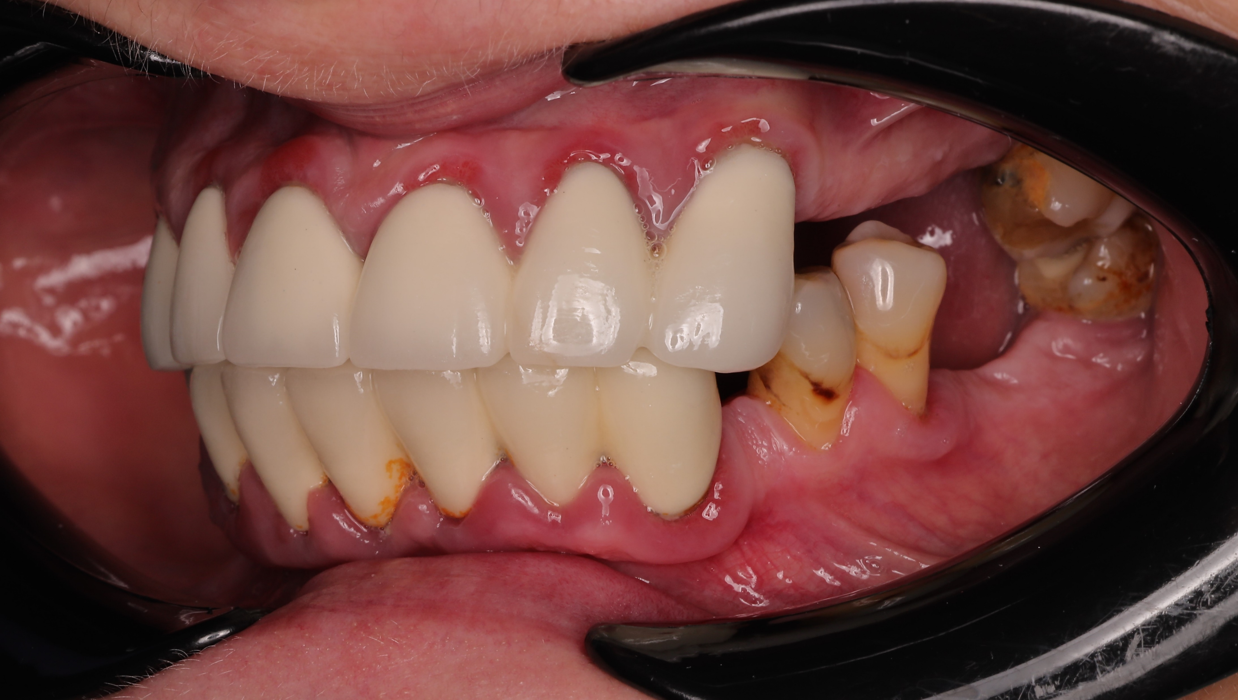
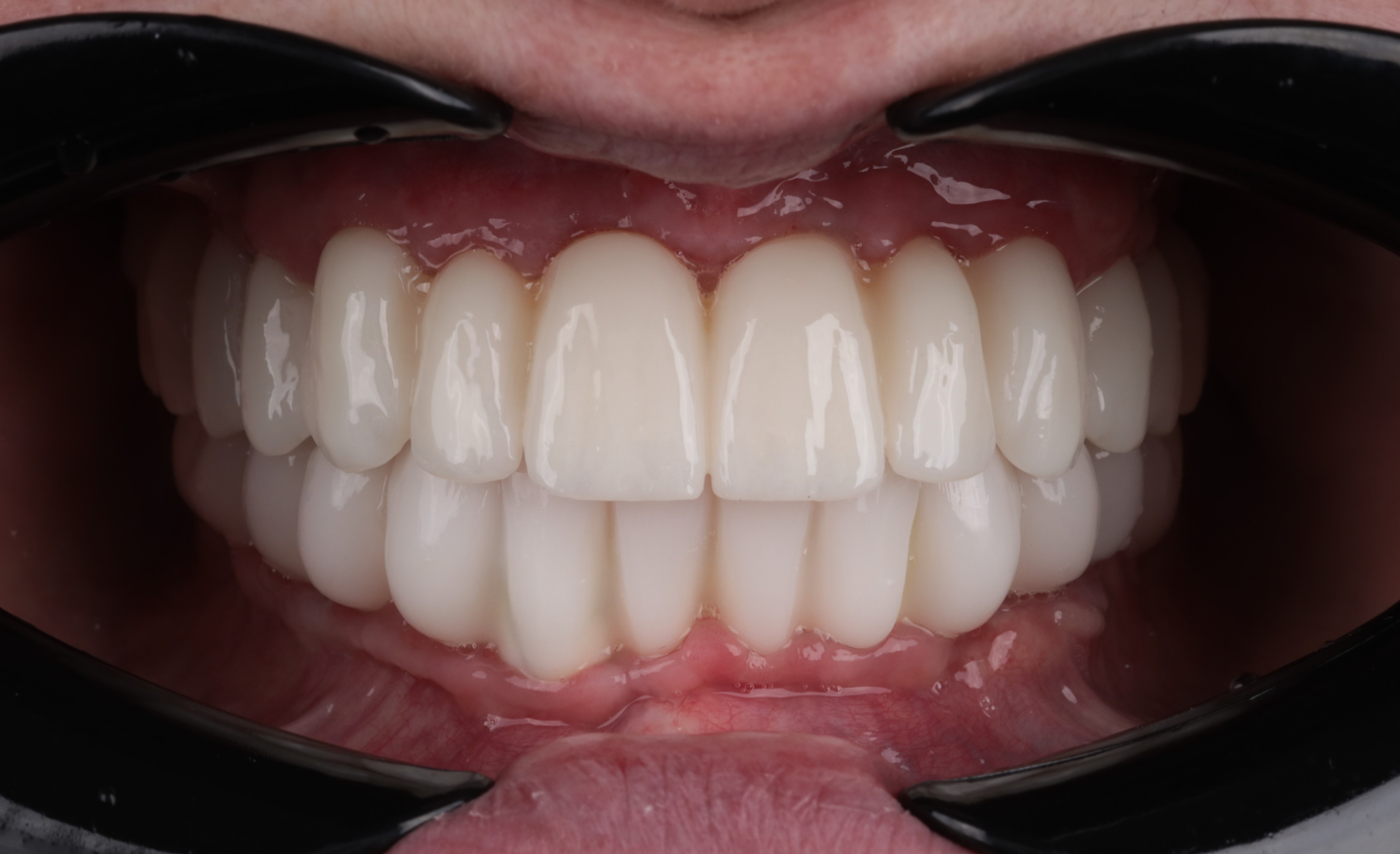
Based on the high-fidelity digital impressions, same-day resin provisional prostheses were fabricated and delivered immediately after surgery. The precision of the IPG scan ensured a successful same-day provisional bridge delivery and secure retention using Rosen screws without the need for titanium bases. Post-operative Orthopantomogram (OPTG) confirmed accurate seating and stable connections across all implants, with a 2 mm occlusal clearance maintained in the molar region to ensure functional safety during the initial healing phase.
Six-Month Follow-Up
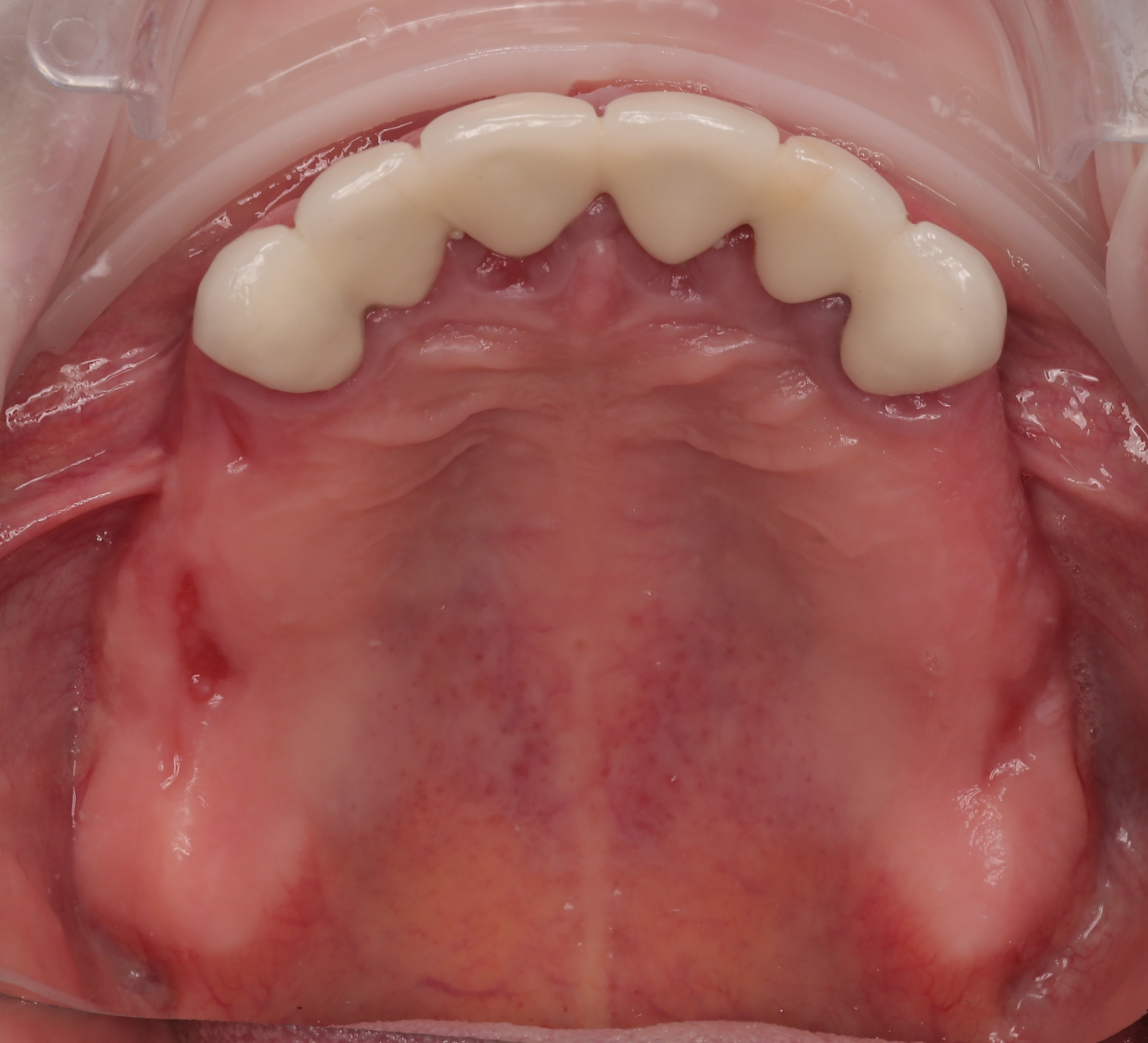
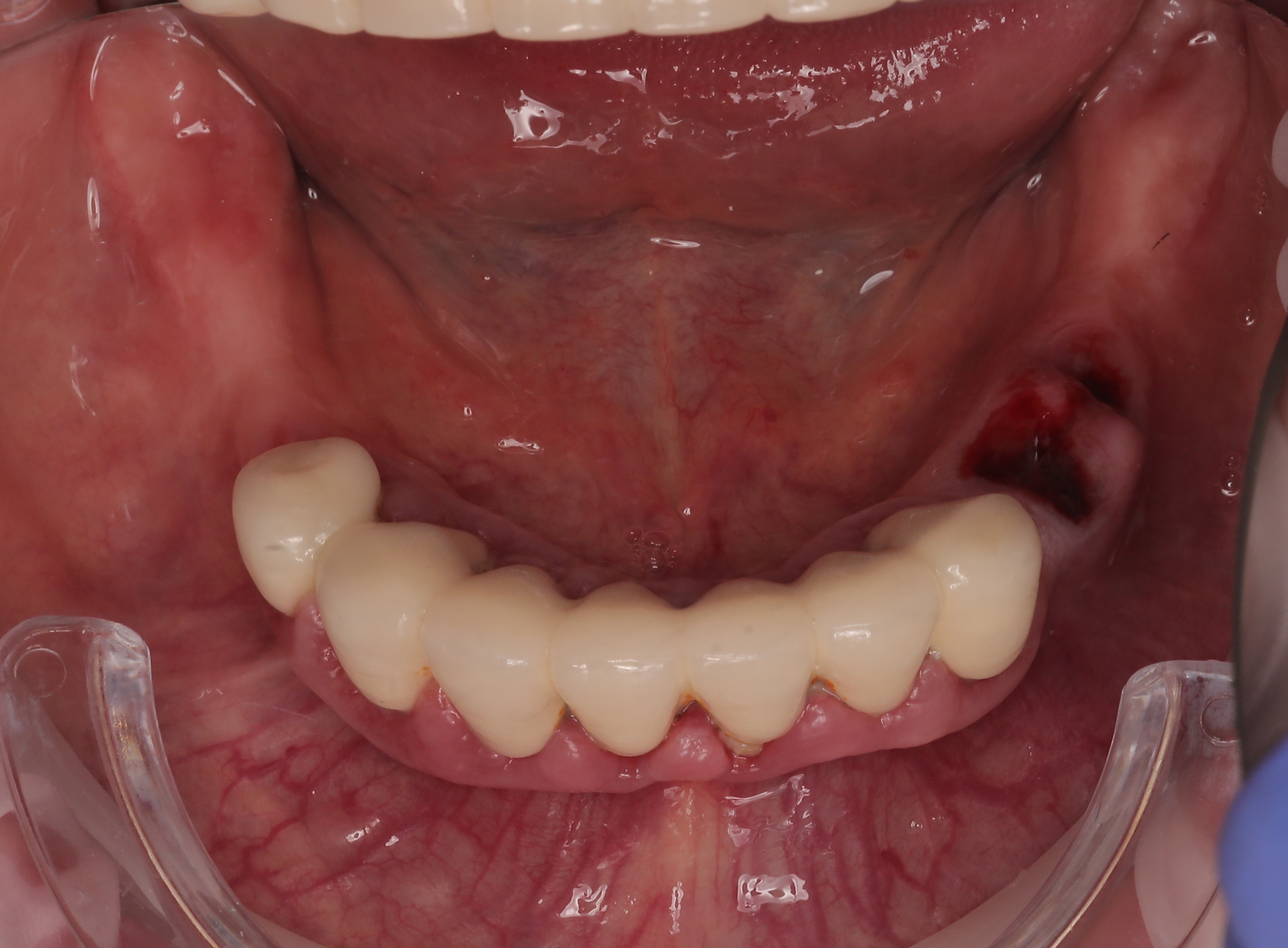
At the six-month follow-up, the patient reported high satisfaction with the functional and aesthetic performance of the provisional restorations. Clinical examination following the removal of the provisionals revealed optimal soft tissue healing and well-preserved gingival architecture. Notably, the Root Shield sites at 13, 12, and 23 successfully maintained the buccal ridge contour, while radiographic evaluation (OPTG) confirmed complete osseointegration of all implants, including the pterygoid fixtures at sites 17 and 27.
Final Prosthetic Phase
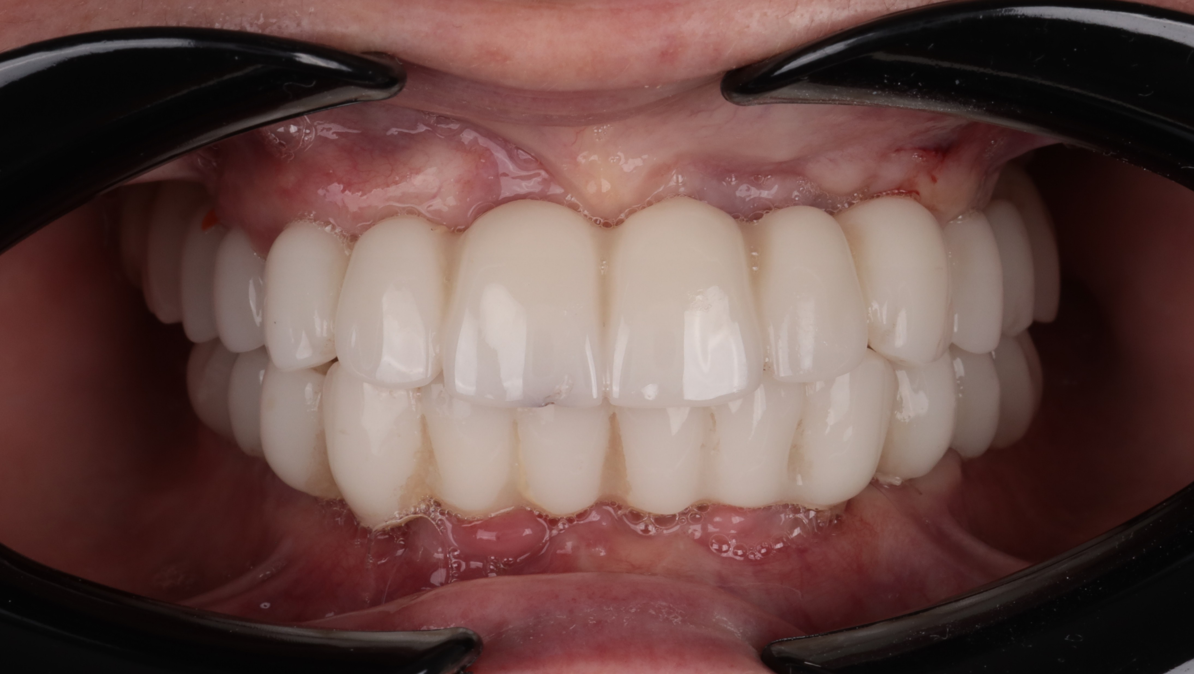
The final restorative phase utilized a repeat IPG scan to ensure micron-level accuracy for the definitive frameworks. The maxilla was restored with a zirconia bridge on a titanium framework, while a metal-composite framework was selected for the mandible. The definitive prostheses achieved a perfect passive fit and optimal seating, successfully restoring both masticatory function and the patient’s natural aesthetic smile.
Conclusion
This case demonstrates the clinical efficiency and accuracy of Intraoral Photogrammetry (IPG) within a fully digital dental workflow for full-arch rehabilitation, where both provisional and definitive prostheses were fabricated entirely without physical impressions or models. The use of IPG data ensured a perfect passive fit even in the presence of blood and surgical fluids immediately post-op.
Furthermore, all implants—including those in the pterygoid and Root Shield sites—achieved successful osseointegration. Ultimately, this digital approach allowed for a rapid, minimally invasive treatment that bypassed the need for complex bone grafting or bone substitute materials.
.jpg)