Digital Workflow for Dentures
In edentulous cases, achieving both functional precision and natural esthetics has always been a challenge. However, with the digital integration of Aoralscan Elite and MetiSmile-MR, intraoral and facial scans can be seamlessly combined to deliver complete digital dentures with outstanding accuracy and esthetics.
Today, we are honored to feature a case from Dr. Marco Van Tongeren, a renowned dentist from the Netherlands recognized for his expertise in digital workflows for edentulous and implant-supported dentures.

Fig 1: Dr. Marco Van Tongeren
In this case, an old patient renewed his dentures using Shining 3Dโs fully digital workflow. Both a 3D-printed denture produced with our digital resin solution and a milled PMMA denture were created for comparison.
Case Profile
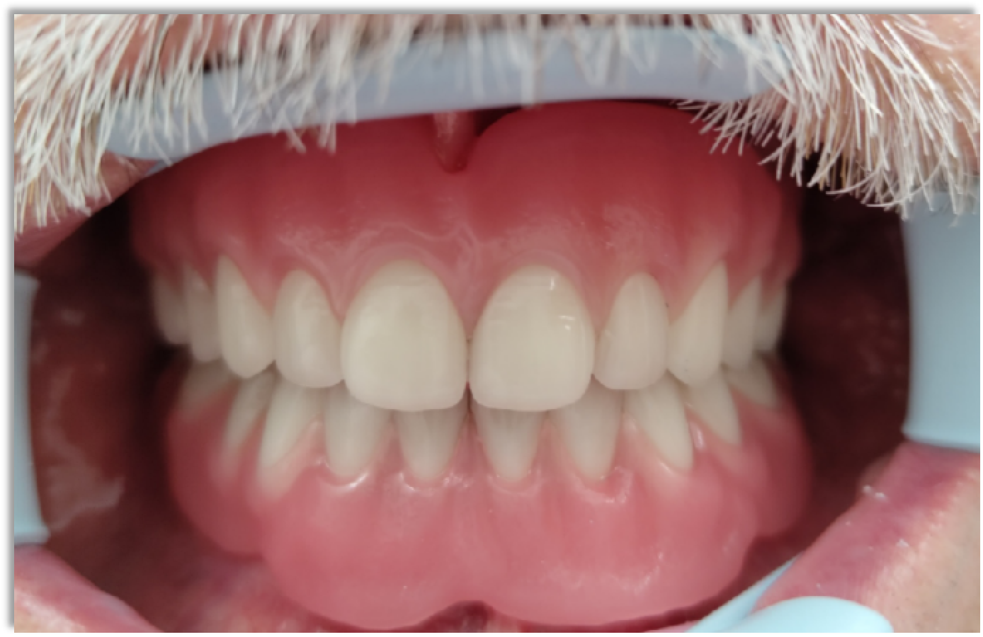
The patient is a 71-year-old man with over 35 years of wearing complete dentures, complained that his dentures were worn and uncomfortable to use.
[Fig.2-4]: Clinical View of the Patient
Following a comprehensive clinical examination that identified worn denture teeth, aesthetic deficiencies, and functional issues including inadequate fit, Dr. Marco elected to fabricate a new set of dentures using a fully digital workflow, providing enhanced precision, fit, and patient comfort.
Objective
To fabricate complete digital dentures using Shining 3Dโs Aoralscan Elite and MetiSmile-MR within a fully integrated CAD/CAM workflow, evaluating the performance of denture resin compared with PMMA.
Treatment Plan
The digital workflow began with intraoral scanning of the edentulous arch using Aoralscan Elite, followed by the design and 3D printing of a custom tray. The tray was first scanned intraorally, then extraoral scanning was performed to record the optimal jaw relationship using MetiSmile-MR. The case was transferred via the Shining 3D cloud platform to the Dental Design Service for design. Final dentures were fabricated through both 3D printing and milling, post-processed, and completed by bonding prefabricated teeth to the printed base, followed by polishing.
Data Collection
Edentulous Scanning with Aoralscan Elite
For scanning, movable mucosa data provide the foundation for accurate results. The Aoralscan Elite is quite good at capturing functional margins and ensure proper denture border fit.
Figs. 5-8: Intraoral Scan Capturing Edentulous Arch and Functional Borders
Design and 3D Print A Custom Tray
A custom tray was first designed in Lab software and printed. The jaw motion tracker was then secured on the tray with wax, and markers were attached to facilitate accurate jaw relationship capture. Using the extra match function, Dr. Marco performed a 360ยฐ extraoral scan of the assembly, which provided the necessary data for subsequent facial scanning.
Figs. 9-12: Extraoral Scan of Custom Tray with Jaw Motion Tracker
Optimal Jaw Relation Determination
In this workflow, the patientโs previous bite registration was not used, and no wax rim was fabricated. A custom tray was placed in the mouth, with the gray jaw motion tracker on the upper jaw and the blue one on the lower jaw, each carrying four markers. The process began with static facial capture, allowing precise marker detection and seamless alignment of facial data with the extra match scan.

Figs. 13: Static Facial Capture
The next step was to capture the trajectory, including 30 small, rapid mouth-opening movements to determine the most stable and repeatable path. The clinician guides mandibular movements to prevent protrusive deviations and ensure the accuracy of the jaw relation data.
After data acquisition, the software automatically identifies key landmarks and establishes a coordinate system based on these reference points. The vertical dimension can be adjusted to determine the optimal occlusal height. For horizontal relation, the software calculates the intersection of the motion path with the horizontal plane, providing the centric relation and myofascial reference points for the clinician. Occlusion can be easily evaluated through four cross-sectional planes along the dental arch, with precise interocclusal measurements displayed by the software. Once the new jaw relation is determined, minimal adjustments are required during the try-in stage, enabling direct progression to the final denture in this case.

Figs. 14: Analysis Results of Optimal Jaw Relation
Design and Fabricate
Denture Design on Shining 3D Cloud Platform
Once the new mandibular position was determined, all scan and patient data were seamlessly uploaded to Shining 3Dโs cloud-based Design Service. Detailed design instructions, including a slightly shorter lower denture, were provided to the experienced technicians. Within 24 hours, the completed design was returned, reviewed, and approved online.
Fig. 15,16: Shining 3Dโs Cloud-Based Design Service
Printing & Post-Processing
The denture base was sliced in AccuWare and 3D printed on the AccuFab-F1 in 75 minutes using Shining 3D DT02 resin. Post-processing was completed with FabWash, followed by final processing, including support removal, alcohol washing, and curing. Prefabricated teeth were then bonded to the printed denture base, completing the denture assembly.
Fig.17-22: Printing and Post-Processing with Shining 3D Equipment
Milling Denture Base
In this approach, the denture base was milled from PMMA using a milling machine. The milling process took 160 minutes and was carried out in two steps.
Fig.23,24: Milled Denture Base
Comparison: Milled vs 3D Printed Denture Base
Upon first check-in, the patient reported greater comfort with the 3D printed denture and expressed a clear preference for wearing it in daily use. Clinically, the milled denture required occlusal adjustment after insertion, whereas the 3D printed denture exhibited acceptable occlusion without modification. Both clinician and technician reviewed the workflow throughout the process, gaining valuable insights and confirming satisfaction with the final outcome. The patient also noted that the printed denture felt lighter and more natural, and when asked about taste perception, expressed overall satisfaction. This case provides an opportunity to monitor the resin material over the long term and evaluate its clinical performance in extended use.
Fig.25-29: 3D printed denture try-in
This case was completed entirely within a digital workflow, without traditional steps such as wax rims or try-in. The 3D printed denture achieved proper occlusion without adjustment and was preferred by the patient for comfort. The milled denture required occlusal modification. These results highlight the clinical potential and long-term value of 3D printed resin dentures.
Clinical Insights from Dr. Marco
This case demonstrated the impressive and user-friendly workflow of Aoralscan Elite combined with MetiSmile-MR, easily integrated into daily practice. Without using references from existing dentures or other aids, the optimal jaw registration provided an accurate reference for centric relation, while the software allowed verification for flexibility and clinical control.
Initial impressions of the Shining 3D printed denture are very positive: the patient reported greater comfort, and the prosthesis remained stable after several weeks. Total chairside time was about 90 minutes, potentially reducible to 60 minutes in routine practice. Overall, the Jaw Motion function delivers accuracy, efficiency, and clinical confidence in achieving the correct jaw relation.
Conclusion
This case demonstrates how a fully digital workflow combining Aoralscan Elite, MetiSmile-MR, and AccuFab-F1 3D printing can transform denture treatment. Compared to traditional milling machines, this approach streamlines the process, reduces manual steps, and achieves greater accuracy. By precisely capturing the optimal jaw relation, clinicians can deliver predictable results with enhanced patient comfort, showcasing the efficiency, precision, and future potential of digital dentistry.
.jpg)






















