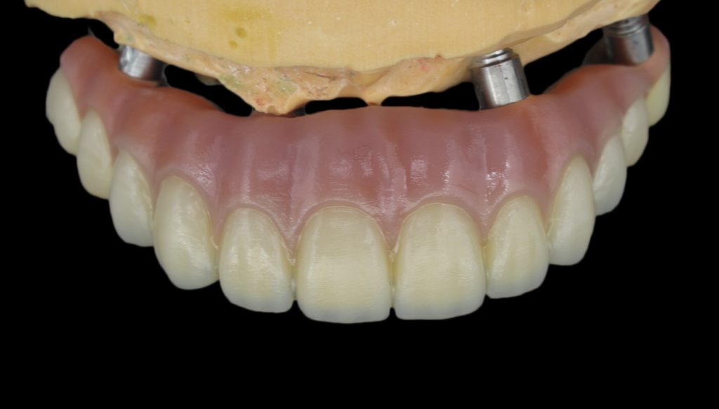
Upper 6-6 Implant Based Bridge
Case information
- Tooth Position: # 12、 # 15 、 # 22、 # 25
- Implant System: ICX
- Restoration type: Implant-based bridge
- Material: Titanium
- Superstructure type: #16-26 Resin crowns
- SHADE: #16-26 A2
- Case source: Shenzhen Jiahong Dental Medical Co., Ltd; Shenzhen Wotofo Technology Co.,Ltd
Workflow
1.1 Scan – Create an order
Create order of reduced wax-up bridge.
1.1 Scan – Scan with AutoScan-DS-MIX
Thanks to AutoScan-DS-MIX’s exceptional scan performance, all the details are perfectly kept with high accuracy.
1.2 Design – Matching in exocad
1.2 Design – exocad Design
Design the bridge in exocad.
CNC machine: Willemin 308B
1.4 Complete the metal bridge
High fitness between bridge and implants, even just lock one screw.
1.5 Post-processing
2. Finish
The AutoScan-DS-MIX high-end dental lab 3D scanner developed by SHINING 3D convinces users with its open design and modular structure featuring fine details, high accuracy as well as high efficiency fulfilling users’ demands of a wide range of applications including but not limited to crowns & bridges,abutments, bars, etc.
.jpg)





