Table of Contents
Dr. Quinci details a full digital case for implant-based restoration.
Introduction
Precise implant positioning can be accomplished with the guidance of a digital surgical guide. This can prevent perforation, improper implant placement pertaining to location and depth, and injury to the maxillary sinus, mandibular neural tube, and other vital anatomical structures.
SHINING 3D’s digital implant solution actualizes the end-to-end process of an implant-based restoration. It assists to accurately guide and detect the drilling center for implant bed preparation and provide a safe guard in relation to implant spacing. The ability to perform minimally invasive surgery is a significant benefit of the surgical guide. Precise incisions to the soft tissue will greatly reduce the occurrence of post-operative complications and, as a result, reduces patient discomfort and fear of surgery.
Dentist: Dr. Quinci
Patient information

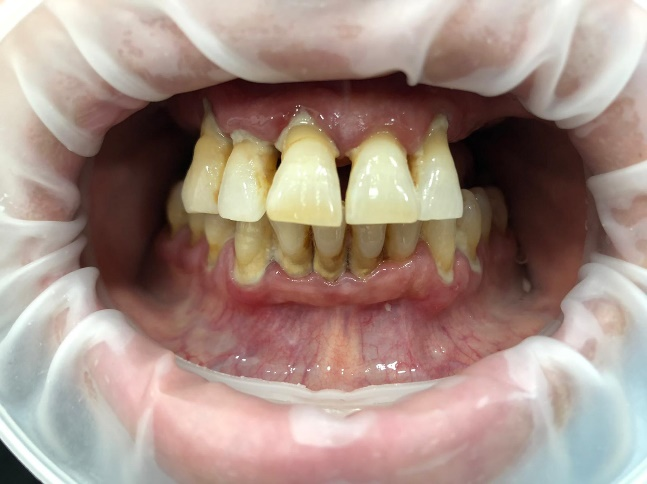
Male patient with severe resorption of the maxillary alveolar bone will need #11-13, 21 and 22 to be extracted for implant placement. 
Case study
With the help of the Aoralscan intraoral scanner, we can obtain digital impression data of the upper and lower jaw. We can then produce the physical surgical guide with the AccuFabD1 printer.
After extraction of #11-13, 21 and 22, we place five JD implants under the guidance of the surgical guide.
Post-operative X-ray imaging examination displays that the implanation position is consistent with to the planning without deviation.
We then use the Aoralscan to scan the edentulous jaw with scan bodies for subsequent restoration.
Final Result
The final result below:



.png)






