Table of Contents
Ryousuke Takahashi
August 17, 2025
You Can’t Design Without the Face
As a community dentist, I often provide simple treatments like single crowns, but I also face many cases that require comprehensive treatment planning, such as esthetic prosthodontics, full-mouth rehabilitation, or orthodontics.
Traditionally, wax-ups for diagnosis and orthodontic setups have helped both patients and the dental team communicate more clearly about the expected outcome. For decades, such work has been done on an articulator, but if we only look at the teeth in isolation, we cannot truly “design.”
Incisal edge position and the smile line must be decided in harmony with the entire face—eyes, nose, lips, and jawline. Digital Smile Design (DSD) has tried to bridge this gap using photographs, integrating facial appearance with tooth exposure. While photos do help, they cannot fully express three- dimensional depth. Even videos can capture natural lip and facial movement, but they remain more of a reference than a true design tool.
This is where facial scanning becomes valuable. By combining SHINING3D’s system, clinicians can seamlessly integrate high-precision intraoral data from the Aoralscan Elite with facial data captured by MetiSmile.
This allows dentists to review smiles and occlusion in 3D even after the patient has left, and enables dental technicians—who often never meet the patient—to better understand natural smiles, facial expressions, and the patient’s wishes when creating treatment plans.
What Makes MetiSmile Different
SHINING3D’s MetiSmile is a facial scanner built specifically for dentistry.
It automatically adjusts brightness and starts scanning, making it easy for anyone to capture standardized facial data in a short time. A major advantage is how seamlessly it integrates with intraoral scans from the Aoralscan series, as well as with additional CAD designs.
In daily use, MetiSmile offers several advantages:
・Standardized data captured in just seconds
・Automatic correction of slight patient movement during scanning
・Recognition of reference points such as eyes and nose for direct use in design
・Ability to record multiple expressions: natural smile, full smile, and closed bite
Overlaying this facial data with the intraoral scan makes both patient communication and prosthetic design smoother.
Scanning and adjustments are performed automatically, and matching with
the intraoral scanner is also carried out automatically.
Unlike large, stationary facial scanners, MetiSmile is compact and can be used either at the desktop or chairside. In my practice, many patients are elderly or physically limited, unable to adjust their head position. For such patients, especially in full-mouth or complete denture cases, the mobility of MetiSmile is a major advantage.
Speeding Up Treatment With MetiSmile
Facial scans not only improve diagnosis and treatment planning, they also speed up the treatment process itself. By integrating intraoral scans and facial data chairside, clinicians can provide same-day simulations. Patients visiting for esthetic or orthodontic consultations can immediately see their potential outcome and discuss it in detail with the dentist.
Compare this to the traditional workflow: photos and models sent to the lab, days of waiting for setup or wax-up fabrication, shipping time, and finally calling the patient back just for a review. With MetiSmile, that entire cycle is shortened.
Early visualization also helps patients feel reassured, making it easier to reach treatment consensus. Many esthetic or orthodontic patients have trouble expressing their concerns, saying only things like, “I just want my
front teeth to look nicer”or “I wish they were a little more tucked in.” By showing them an integrated 3D view of their actual face and teeth, we can uncover their true expectations much earlier.

Demonstration of intentionally moving the anterior teeth in ConsulOS.
“Digital Try-In” to Reduce Visits
In prosthodontics, it’s common to let patients preview their restoration before final delivery—typically through wax-ups or mock-ups that require multiple appointments. If the patient rejects the setup, the whole try-in process has to be repeated, creating extra burden for both dentist and patient.
MetiSmile changes this. By combining facial and intraoral scans, dentists can easily perform a digital try-in right in front of the patient.
By using the Aoralscan series’ ConsulReport function, together with MetiSmile’s ConsulOS and ConsulFace, and the upcoming ConsulDSD, dentists can easily go over the treatment plan with patients and then generate a QR code for sharing. This allows any staff member to share data smoothly and securely at the chairside, without relying on additional software or external services.
This not only reduces the number of visits but also ensures both dentist and patient share the same understanding, leading to stronger informed consent.
Establishing Reference Planes in Full-Mouth Cases
One of the strongest advantages of MetiSmile is in full-mouth rehabilitation. Here’s an example from my clinic.
Matching of the initial facial scan with intraoral scan data.
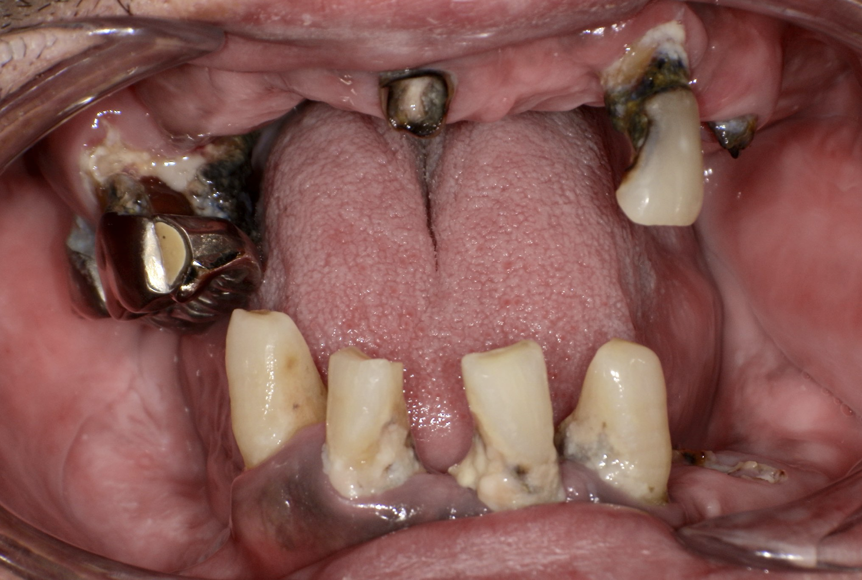
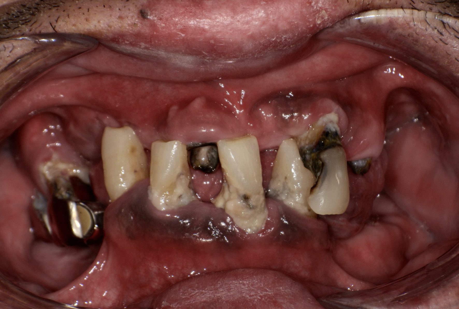
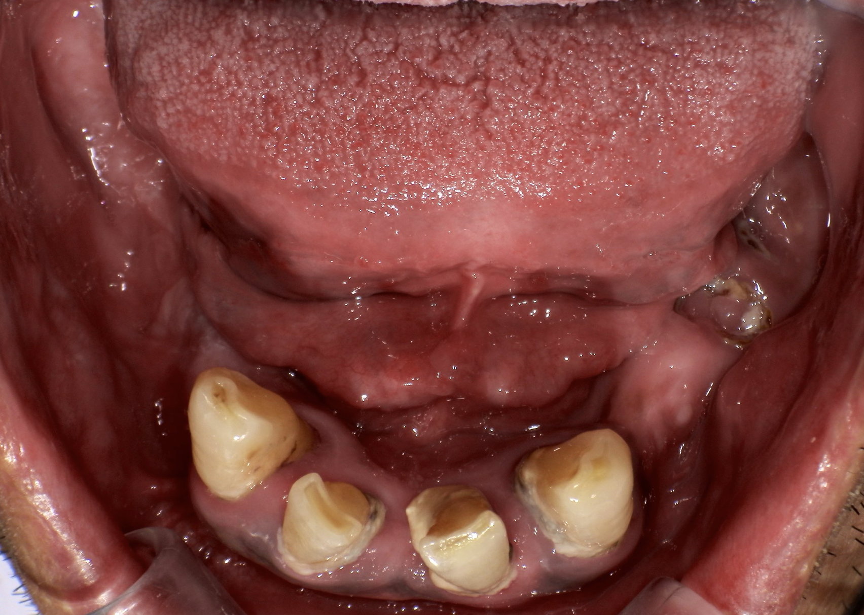
A patient with over 10 years of collapsed occlusion presented with remaining teeth that made it nearly impossible to establish a reference plane based on intraoral scans alone. Since we were planning transitional full dentures, I wanted to provide printed dentures immediately after extraction.
But without a reliable occlusal record, even placing a baseplate was a challenge.
Intraoral photos at the first visit.
By integrating Aoralscan Elite and MetiSmile, I used the remaining teeth as matching points and determined the reference plane based on the facial scan data after the first visit. With Aoralscan, the intraoral scan was extended to capture the lips and nasal bridge, which were optional but helpful for achieving more reliable alignment and verification with the facial scan data, especially in cases where the condition of the remaining teeth was poor.
High-precision alignment of intraoral scanner data with the facial scan.
At the second visit, after extractions, I delivered monolithic 3D-printed try-in dentures created seamlessly with SHINING3D’s Accufab system. Even under tight time constraints, the workflow allowed immediate delivery of functional try-in dentures.
Try-in dentures fabricated with the Accufab printer being fitted.
Since the second visit was scheduled for the day after the initial appointment, the production time for the 3D-printed dentures was limited. However, with SHINING3D’s Accufab system, the upper and lower complete dentures were fabricated seamlessly. While I personally use various CAD software to design try-in dentures, for those less familiar with design, utilizing SHINING3D’s design service can also be a practical option.

CAD design service provided by SHINING3D.
This approach let me refine esthetics, occlusion, and vertical dimension with the patient wearing the try-in dentures, avoiding the traditional long waiting periods without teeth. In the end, the patient received final full dentures that were 3D-printed in-house, with excellent results.
Final 3D-printed dentures, also fabricated with the Accufab printer, being
fitted.
From Smile to Function — Introducing MetiSmile MR
Another exciting development is MetiSmile MR, which integrates the Jaw Motion module. This records mandibular movement and overlays it onto the facial scan, enabling dynamic visualization.
With this, treatment planning goes beyond esthetics. It allows dentists to evaluate occlusal contacts, joint movement, and functional stability, all in harmony with the smile line. For example, when designing anterior restorations, we can now consider both appearance and functional balance.

In MetiSmile MR, marker stickers serve as reference points to record
mandibular movements with high accuracy.
In my full-denture case, I even used Jaw Motion data to help establish horizontal jaw relations before the final prosthesis.
This represents a true evolution—from focusing only on smiles to incorporating function. MetiSmile MR points toward the future of digital prosthodontics.
Conclusion
Facial scanning with MetiSmile makes it easy to incorporate facial harmony—something photos alone could never fully capture. It is simple, fast, and reliable, with automatic corrections and recognition features that fit seamlessly into daily practice.
By enabling digital try-ins, MetiSmile reduces patient visits and strengthens communication. And with the MR module, it bridges esthetics and function.
MetiSmile is becoming an essential tool to elevate digital smile design, digital prosthodontics, and everyday dentistry. I hope this review helps colleagues integrate it into their own practice.

MetiSmile continues to evolve through software updates—shown here
creating a digital avatar of the author.


















