Introduction
Digital planning and manufacturing technologies have redefined modern implant dentistry, particularly through the adoption of guided implant surgery and fully digital workflows. The integration of CBCT imaging, intraoral scanning, digital wax-up design, and intraoral photogrammetry enables highly accurate, efficient, and predictable workflows. These tools support superior surgical precision, aesthetic control, and interdisciplinary communication.
Clinical Situation
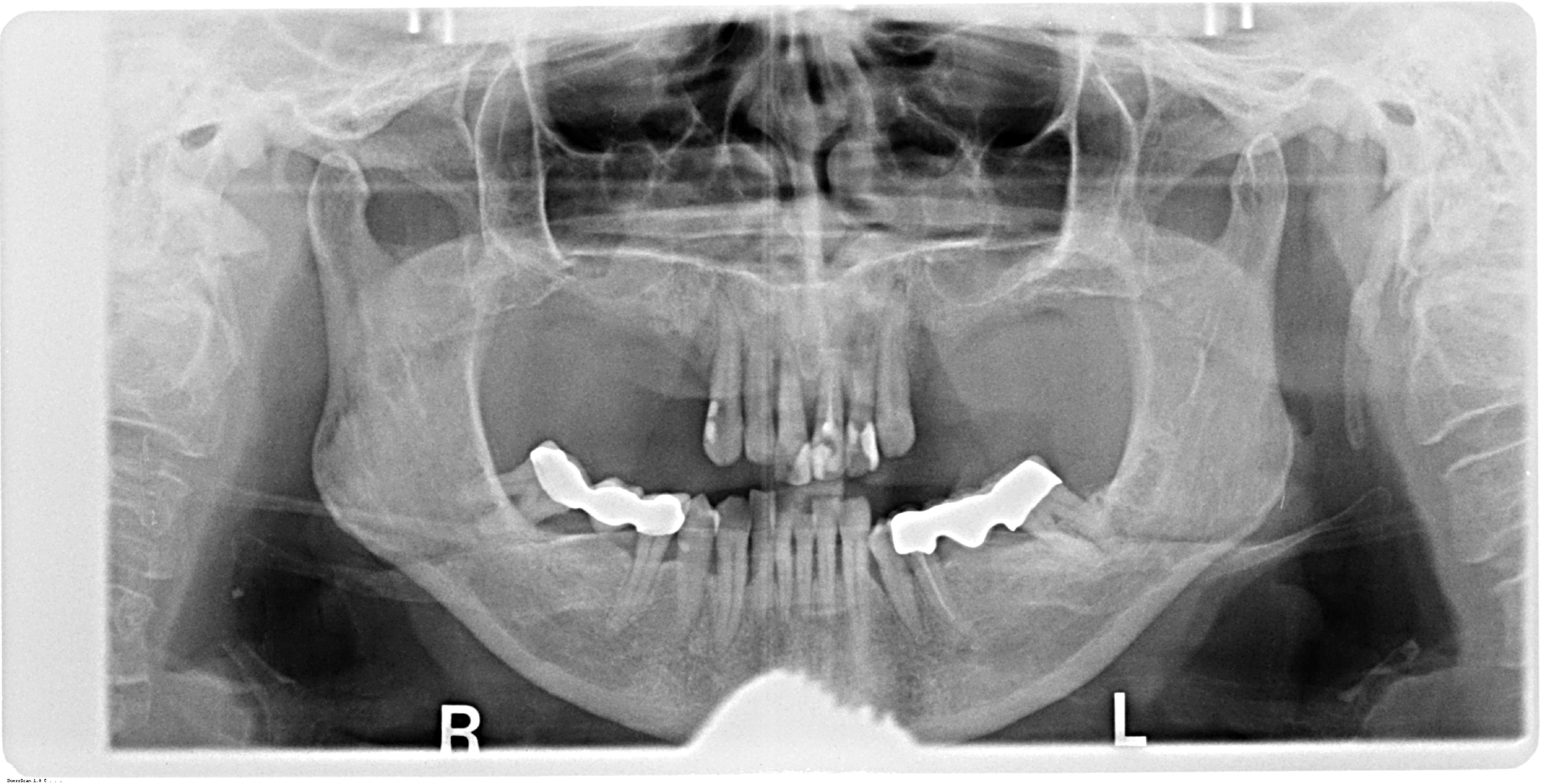
A 67-year-old female patient presented with a severely compromised anterior maxilla. Remaining teeth 13–23 showed advanced bone loss, periodontal breakdown, and a deep bite. The teeth were deemed non-restorable. The patient experienced functional limitations and significant aesthetic concern. Medical history was unremarkable.
Digital Diagnostics and Virtual Planning
Initial diagnostics included CBCT imaging and full-arch intraoral scanning. A digital wax-up with an increased vertical dimension of approximately 2 mm was created to simulate functional and aesthetic improvements. Fully digital implant planning was carried out, and a SMOP tooth supported guide was designed, anchored in the region of the lateral incisors.
Surgical Procedure
Following the extraction of teeth 13–23, the tooth-supported guide was positioned and stabilized, allowing precise, fully guided implant surgery. Multi-Unit Abutments were inserted according to the digital plan. Immediately post-surgery, intraoral photogrammetry was performed to record the implant positions with high accuracy, eliminating the need for conventional impressions or splinting.
Immediate Loading
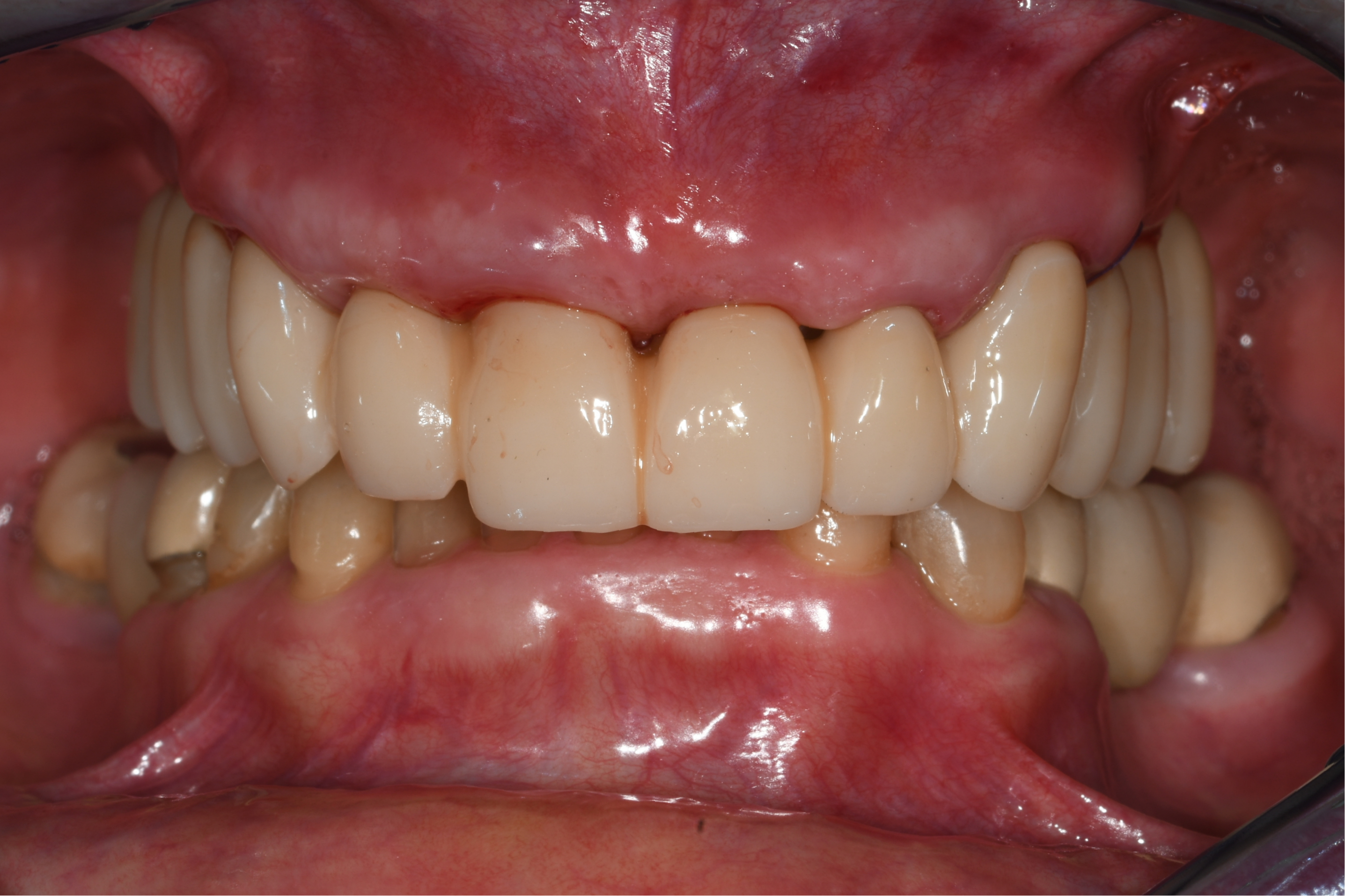
The photogrammetric dataset was transferred to the dental laboratory, enabling same-day fabrication of a milled long-term provisional. The provisional restoration was seated on the afternoon of surgery, restoring aesthetics and function immediately.
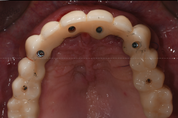
Healing Phase and Prosthetic Release
Healing progressed without complications. Stable peri-implant soft tissues and successful osseointegration were observed. After removal of the provisional restoration, a second intraoral photogrammetry scan was performed to document the implant positions at the time of prosthetic release. These data were transferred to the patient’s general dentist for final restoration fabrication.
Conclusion
This case highlights the advantages of a fully digital workflow in immediate implant placement and immediate loading within the aesthetic zone. The combination of CBCT, intraoral scanning, digital wax-up, guided implant surgery, and photogrammetry allowed a precise, efficient, and predictable outcome. Intraoral photogrammetry minimized errors associated with conventional impression methods and enabled rapid fabrication of an accurate provisional restoration.
.jpg)